
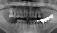
インプラントは、あごの骨に人工の歯の根(フィクスチャー・チタン製など)を埋め込み、その上に人工の歯を固定する、歯科の最先端医療技術です。当院では、最新のCT機械を導入し、以前にも増して、より精度の高い診断が可能となります。
青島歯科クリニックでは、歯が1本だけ無い場合から、全部無い場合まで、幅広く対応できます。
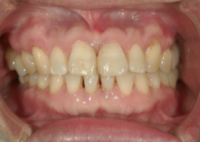
インプラント治療の最大のメリットは、今ある歯を守るということです。
噛み合わせなどで、お困りの方に是非、オススメいたします。

痛みの少ない抜歯を行います。

インプラントを埋入し、縫合後に次の段階へと移ります。
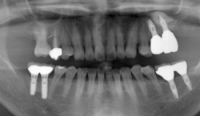
縫合後、インプラント違和感などがないことを確認し、アバットメント(土台)を装着します。

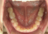
最後にクラウンを装着して、これでインプラント治療は終了となります(かぶせ物)。










