
昨今、審美歯科が多くのメディアで話題になっています。
「審美」という名の通り、見た目の美しさを追求する歯科ですが、実際には、それだけでは本来の目的を達成したことにはなりません。なぜなら、歯は単なる置き物ではなく、食べ物を咀嚼する際や会話をする際にも非常に大きな役割を果たしているからです。
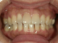
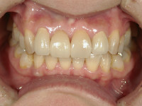
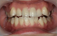
私たちは、審美という歯の本来の美しさを追求すると共に、患者様にとって違和感のない、機能性も追及した審美歯科を目指しています。
審美歯科を受診されることで、患者様本来の美しい笑顔を取り戻していただければ・・・と考えています。

美しい口元は、貴方に自信と笑顔をもたらします。
御自身にあった治療法を お捜しいたします。
〈ラミネートベニア・ セラミッククラウン・ セラミックインレー等〉

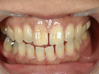
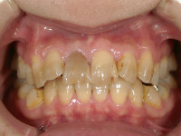
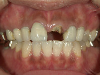
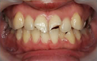
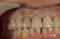
(1)歯の色が悪く笑顔に自信が持てない。
(2)この頃歯の色が黄色くなってきていることが気になる。
(3)就職試験や大事なプレゼンの前に早く白くしたい。
(4)結婚式、同窓会の前に急いで白くしたい。
(5)コーヒー、ワイン等の着色汚れ。
当院では、歯にやさしく負担をかけない治療で患者様の御要望にお答えするシステムを各種用意しております。
費用も数千円から。詳しくは、お気軽にご相談ください。



















