歯並びや噛み合わせが悪い場合、それをきちんと噛み合うようにして、きれいにするのが矯正歯科治療です。
矯正歯科治療では通常、矯正装置を使って、歯や顎の骨にゆっくりと弱い力をかけて歯を正しい位置に動かして、歯並びと噛み合わせを修正していきます。
不揃いな歯や、上顎と下顎の歯がしっかりと噛み合わない状態(不正咬合)をそのままにしておくと、以下のような問題が起こります。
お子さまの歯や顎は成長発育過程にありますので、上顎・下顎の骨のバランスを整えやすいため、顎の骨やその他、からだの発達に悪影響を及ぼすような症例の場合は、子どものときから歯科矯正治療を始めた方が良い場合があります。
また、指しゃぶりや口呼吸など、お口に関するさまざまな癖(口腔習癖)のように、お子さまの成長に悪影響を及ぼす問題を改善して、食べ物を細かく噛み砕いて飲み込んだり、話をしたりするような、お口の機能の発達を促すことができます。
さらに、先天性欠如歯や埋伏歯などを、早期発見して、適切な処置・対応をすれば、症例によっては、歯が生えるスペースが確保でき、歯を抜かずにすむ場合もあります。
子どものころから歯科矯正治療を始めることによって、歯医者で定期的にお口の管理をするため、むし歯や歯周病などの予防にもなります。
当院ではお子さまの歯並びだけではなく、呼吸も考えた矯正治療を行なっております。
近年、抜歯を主体とした矯正治療後に、「顎関節症になる」、「調子が悪くなる」などの問題が、散見されるように思います。
しかしながら、成長期に呼吸と歯並びの両方について考えた、顎顔面矯正治療を行ない、改善することにより、お子さまの健やかな成長をサポートさせていただいております。
顎が狭く、気道が狭いため呼吸が不十分なお子さまには、予防矯正として顎顔面矯正治療を行なうことによって、より良い成長をもたらしてくれることがあります。
顎の未発達により、歯並びが悪くなるだけでなく、顎の関節が弱くなったり、気道が狭くなったりして、成長過程にあるお子さまの段階から、様々な現代病に罹患されるケースが増加しております。
最近では、お子さまの顎の未発達が従来の矯正治療の限界を超えているケースが多く、より確実にお子さまの歯並びと健やかな成長を促すために、顎顔面矯正を導入いたしました。
不正咬合(受け口・反対咬合・出っ歯・歯並びがガタガタなど)があるお子さまは、呼吸に問題がある(気道が狭い)ことが多く見られますので、一度、相談にお見えになることをお勧めします。
~顎顔面矯正治療で骨格から美しい歯並びに~
悪い歯並びの原因は、昔と比べて、現代人の歯が大きくなったのに、顎が小さくなっていることが原因だと言われています。
抜歯をして、表面上の歯並びだけを整えるワイヤー治療では、本当の意味での問題解決はできません。
当院では、顎顔面矯正治療によって、根本の原因から歯並びを治療することを推進しています。
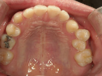
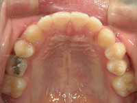
顎顔面矯正治療では、急速拡大装置という特殊な装置を使って、歯だけでなく顎の骨自体を矯正していきます。
顎の骨が広がれば、歯は正しい位置へ自然に収まり、歯並びも美しくなります。
特に、成長段階にあるお子さまへの顎顔面矯正治療は効果的です。
~顎の未発達が様々な症状を引き起こします~
顎の未発達は、体に様々な悪影響を及ぼします。
例えば、お子さまの鼻づまりの原因の一つに、上顎の未発達が考えられます。
アレルギー以外の原因による場合は、上顎を広げることで鼻腔も広げることができ、鼻づまりが改善されたり、正常な鼻呼吸ができるようになります。
下顎が未発達であると、舌の動きに支障が出るため、うまく咀嚼できなかったり、滑舌の悪さにもつながります。
顎顔面矯正治療で体本来の正常な機能を取り戻しましょう。
顎顔面矯正治療をすると、歯並びが美しくなるだけでなく、そのほかにも多くの症状の改善が見られます。
上顎の骨が広がることにより、狭まっていた鼻腔や気道も広がり、鼻づまりやぜんそくの改善、いびきの軽減も期待できます。
下顎の場合は、舌が本来の位置に戻るため、舌運動機能や咀嚼機能の改善に効果があります。
顎全体のバランスを整えることで、からだ本来の正常な機能・発育へとつながっていきます。
若年齢のお子さまだけでなく、成人でも矯正歯科治療は可能です。
矯正歯科治療では、きれいな歯並びと正しい噛み合わせになることで歯の機能を向上させるだけでなく、フェイスラインを整えて口元も健康的で美しくなるので、審美的な効果も期待できます。
歯と歯茎を支える骨が健康であれば、矯正歯科治療を始めるのに、年齢は関係ありません。
加齢とともに歯並びに影響が出始める中高年世代の方も、お口の中の健康維持のため、まずは歯科医師にご相談ください。



